top of page
This site was designed with the
.com
website builder. Create your website today.
Start Now
Call Us Now
: +8801922595863,
+8801737863046
Fahmi Dental Surgery
Home
About
Testimonials
Services
Contact
More
Use tab to navigate through the menu items.
large_article_im635_Miles_of_Smiles_mobile_dental_health_clinic.jpg
flashimg.jpg
large_article_im635_Miles_of_Smiles_mobile_dental_health_clinic.jpg
1/2
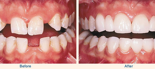
SOME TREATMENT OPTION..........WHICH CAN RESTORE YOUR BEAUTIFUL SMILE & HEALTHY LIFE STYLE....!
DENTAL IMPLANT
DENTAL BRIDGE
TEETH WHITENING
FLEXIBLE DENTURE
bottom of page